רשלנות רפואית

התובעים טוענים שרופאי "מאוחדת" גרמו לפספוס חלון הזדמנות קריטי לריפוי מחלת בנם התינוק - והוא נותר נכה לכל החיים: "עד שהגיע למיון הדלקת כילתה את רקמת מוחו"

בעלה של המנוחה טוען כי רופא הריאות התעלם מממצא מחשיד, ובכך הצניח את סיכויי החלמתה בעשרות אחוזים: "צריך היה לבצע ביופסיה מיד"

בשבוע ה-25 להריון הגיעה האישה ל"הלל יפה" בעקבות ירידת מים. לטענת ההורים, הצוות הרפואי התמהמה ופספס חלון הזדמנויות קריטי למניעת זיהום מי השפיר - מה שגרם נזק מוחי לתינוק
תביעה: איחור באבחון דלקת מוחית גרם לשיתוק ב-3 גפיים
תביעה: איחור באבחון סרטן גרם למוות בטרם עת
תביעה: איחור במתן תרופה להריונית גרם ללידת תינוק נכה
חולה קורונה שנפל ממיטת האשפוז יפוצה במאות אלפי שקלים
מאות אלפי שקלים ליולדת שבתה מתה תוך פחות מיממה
תביעה: בננו נולד עם מחלה קשה בגלל רשלנות
תינוק בן 8 שעות אובחן עם שיתוק ביד. אימו תפוצה
איחור באבחון סרטן ריאה: משפחת המנוח תפוצה ב-2.1 מיליון ש'
7.3 מיליון ש' לסוכרתית שילדה תינוקת עם נזק מוחי
רשלנות בטיפול בשבץ מוחי: יורשות הנפטר יפוצו בכמיליון וחצי ש'
- דיני חוזים
- מומחים לדין הזר
- ייפוי כוח מתמשך
- משפט מסחרי
- הדין האמריקאי
- דיני תעופה
- מטבעות דיגיטליים
- אשרות עבודה
- דיני עבודה
- תביעות ביטוח ונזקי רכוש
- פלילי
- מקרקעין ונדל"ן
- דיני צרכנות ותיירות
- קניין רוחני
- דיני משפחה
- דיני חברות
- הוצאה לפועל
- רשלנות רפואית
- נזקי גוף ותאונות
- תקשורת ואינטרנט
- מיסים
- תעבורה
- חוקתי ומנהלי
- גישור ובוררויות
- צבא ומשרד הבטחון
- ביטוח לאומי
- תמ"א 38
- פשיטת רגל
- תביעות ייצוגיות
- לשון הרע
- דיני ספורט
- אזרחויות ואשרות
- אזרחות זרה ודרכון זר
- ירושות וצוואות
- נוטריון
כתבות
תביעה: איחור באבחון סרטן גרם למוות בטרם עת
בעלה של המנוחה טוען כי רופא הריאות התעלם מממצא מחשיד, ובכך הצניח את סיכויי החלמתה בעשרות אחוזים: "צריך היה לבצע ביופסיה מיד"
תביעה: איחור במתן תרופה להריונית גרם ללידת תינוק נכה
בשבוע ה-25 להריון הגיעה האישה ל"הלל יפה" בעקבות ירידת מים. לטענת ההורים, הצוות הרפואי התמהמה ופספס חלון הזדמנויות קריטי למניעת זיהום מי השפיר - מה שגרם נזק מוחי לתינוק
חולה קורונה שנפל ממיטת האשפוז יפוצה במאות אלפי שקלים
ביהמ"ש קבע שביה"ח התרשל באי-השגחה על הגבר, שדפנות מיטתו היו למטה: "היה צריך לקשור אותו, או להצמיד לו איש צוות"
מאות אלפי שקלים ליולדת שבתה מתה תוך פחות מיממה
ביהמ"ש שלל רשלנות רפואית מצד בית החולים רמב"ם בביצוע הלידה, אך קבע שהאישה תפוצה בשל פגיעה באוטונומיה משום שלא הוצע לה ניתוח קיסרי בשלב מוקדם יותר
תביעה: בננו נולד עם מחלה קשה בגלל רשלנות
לטענת ההורים, בדיקת הסקר הגנטי שביצעו לא הייתה מותאמת למוצא שלהם ולכן התפספס הנתון שהם נשאים של המחלה - ניוון מולד של המוח. הפיצוי הנתבע: מיליוני שקלים
תינוק בן 8 שעות אובחן עם שיתוק ביד. אימו תפוצה
בית המשפט קבע כי ההחלטה לבצע לידת ואקום הייתה תקינה ולא הוכח שגרמה נזק, אך היא הוצגה ליולדת כאפשרות היחידה - באופן שפגע באוטונומיה שלה
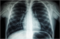
איחור באבחון סרטן ריאה: משפחת המנוח תפוצה ב-2.1 מיליון ש'
על רקע טענת המשפחה שניתן היה לגלות את מחלת יקירם בשלב מוקדם יותר ובכך לשפר את סיכויי החלמתו - נחתמה פשרה עם המדינה, כבעלת ביה"ח שיבא, לתשלום פיצוי העתק
7.3 מיליון ש' לסוכרתית שילדה תינוקת עם נזק מוחי
התעלמות מסימני אזהרה חמורים במעקב ההיריון גרמו לסיבוך מסוכן של הסוכרת, ולשיתוק מוחין אצל הילדה. 15 שנים אחרי, בית המשפט פסק פיצוי
