- דיני חוזים
- מומחים לדין הזר
- ייפוי כוח מתמשך
- משפט מסחרי
- הדין האמריקאי
- דיני תעופה
- מטבעות דיגיטליים
- אשרות עבודה
- דיני עבודה
- תביעות ביטוח ונזקי רכוש
- פלילי
- מקרקעין ונדל"ן
- דיני צרכנות ותיירות
- קניין רוחני
- דיני משפחה
- דיני חברות
- הוצאה לפועל
- רשלנות רפואית
- נזקי גוף ותאונות
- תקשורת ואינטרנט
- מיסים
- תעבורה
- חוקתי ומנהלי
- גישור ובוררויות
- צבא ומשרד הבטחון
- ביטוח לאומי
- תמ"א 38
- פשיטת רגל
- תביעות ייצוגיות
- לשון הרע
- דיני ספורט
- אזרחויות ואשרות
- אזרחות זרה ודרכון זר
- ירושות וצוואות
- נוטריון
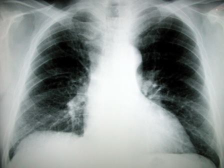
מחלת הריאות נגרמה עקב העבודה, הפיצוי: כחצי מיליון שקל
עובד במפעל שיש טען כי החשיפה לחומרים מסוכנים במסגרת העבודה היא שגרמה למחלה הקשה. בית המשפט קיבל את הטענה וקבע כי החברה התרשלה כשלא שמרה על בריאות העובד.
התובע, כיום בן 39, עבד במפעלי שיש שונים החל מגיל 16, עד שבשנת 1998 התקבל לעבודה קבועה במפעל "שיש המומחים" שבאזור התעשייה אליפלט.
בשנת 2002 חש ברע, ולאחר שהתגלה כי הוא סובל ממחלת הריאות סיליקוזיס, הוא הפסיק לעבוד במפעל בהמלצת רופאה תעסוקתית. בשנת 2006, לאחר מאבקים משפטיים מול ביטוח לאומי, הוכר העובד כנכה בשיעור של 30% כתוצאה מחשיפה לאבק ואסבסט במסגרת העבודה.
נפגעתם במהלך העבודה?
פנו ל-עו"ד תאונות עבודה
במקביל, הגיש האיש תביעה לפיצוי כספי על נזקיו נגד המעסיקה לשעבר וחברות הביטוח שלה "איילון", "הכשרת היישוב" ו"אריה". התובע טען שהמעסיקה התרשלה כשלא דאגה לסביבת עבודה בטוחה ולא הדריכה אותו על מסוכנות האבק המזיק. התובע סיפר למשל, כי במפעל היה קיר רעוע מאסבסט במצב התפוררות שאף אחד לא טרח לתקן, וכי ברוב הזמן לא היו ברשותו מסיכות מגן נגד האבק הרעיל שפולט השיש בעת החיתוך.
המעסיקה הכחישה כי התרשלה וכפרה בקיום קשר סיבתי בין נזקי התובע לבין עבודתו אצלה. מנהל העבודה במפעל סיפר כי לתובע סופקו אמצעי המיגון המקובלים במפעלי שיש דוגמת אטמי אזניים, מסיכות מגן ובגדי עבודה מיוחדים, אם כי ציין שהיום ננקטים אמצעי בטיחות נוספים ואף נהוג לערוך לעובדים בדיקות רפואיות תקופתיות.
חברות הביטוח מצידן טענו כי פוליסות הביטוח כלל לא חלות על הנזקים שנגרמו לתובע, ובכל מקרה האחריות לנזקים רובצת לפתחו כיוון שלא השתמש באמצעי מיגון.
בהתייחס לנסיון ההתחמקות של המבטחות טענה המעסיקה כי לפי מה שנאמר לה הפוליסות מעניקות כיסוי ביטוחי מלא לכל עובדיה, ללא החרגות של נזק כזה או אחר.
יש קשר
השופט אורי גולדקורן מבית משפט השלום בצפת הגיע למסקנה שהמעסיקה לא נקטה בצעדים מספקים להגנה על בריאות עובדיה: היא לא ביצעה הדרכות בטיחות, לא סיפקה מסיכות בתדירות מספקת ולא הקפידה לוודא שהעובדים אכן חובשים אותן.
בהתאם לחוות דעתו של מומחה בית המשפט, קבע השופט כי מחלת התובע נגרמה כתוצאה מחשיפתו לאבק השיש במהלך עבודתו במפעל וכי המעסיקה התרשלה.
מכאן ניגש השופט לחשב את נזקי התובע, ובתוך כך התייחס לגילו, השכלתו, נסיונו התעסוקתי וכן לכך שמחלת הריאות מונעת ממנו להמשיך ולעבוד בענף השיש.
הערכת נזקי התובע, בהם הפסדי שכר, פנסיה, כאב וסבל, הסתכמה בסופו של דבר בכמיליון שקל, שלאחר ניכוי תקבולי הביטוח הלאומי הועמדו על 517,663 שקל.
בשלב הזה בחן השופט מי מהנתבעות תצטרך לשלם את הפיצוי לתובע וקבע כי חברות הביטוח לא הציגו כל ראיה לכך שלא היה למעסיקה כיסוי ביטוחי מלא, למעט למשך תקופה קצרה בת חודש וחצי. משכך, הוא חילק את האחריות בין חברות הביטוח למעסיקה באופן שבו הראשונות ישלמו 95.3% מסך הפיצוי והאחרונה תישא ביתר.
המעסיקה חויבה לשלם לתובע שכ"ט עו"ד של 90 אלף שקל ואילו חברות הביטוח חויבו לשלם לה שכ"ט עו"ד של 35 אלף שקל.
- ב"כ התובע: עו"ד עבאס עבד אל-כרים
- ב"כ הנתבעות: עו"ד אחמד נזאל, עו"ד גלעד גושן, עו"ד יקיר מנדל, עו"ד עינת שגיא-שמואלי
* עו"ד ד"ר אריאל בוכניק עוסק בתאונות עבודה
** הכותב לא ייצג בתיק.
*** המידע המוצג במאמר זה הוא מידע כללי בלבד, ואין בו כדי להוות ייעוץ ו/ או חוות דעת משפטית. המחבר ו/או המערכת אינם נושאים באחריות כלשהי כלפי הקוראים, ואלה נדרשים לקבל עצה מקצועית לפני כל פעולה המסתמכת על הדברים האמורים.
אתר המשפט הישראלי "פסקדין"
פרסומת - תוכן מקודם
פסקדין הוא אתר תוכן משפטי ופלטפורמה המספקת שירותי שיווק דיגיטלי למשרדי עורכי דין,
בהכנת הכתבה לקח חלק צוות העורכים של פסקדין.
