- דיני חוזים
- מומחים לדין הזר
- ייפוי כוח מתמשך
- משפט מסחרי
- הדין האמריקאי
- דיני תעופה
- מטבעות דיגיטליים
- אשרות עבודה
- דין סין (China Law)
- דיני עבודה
- תביעות ביטוח ונזקי רכוש
- פלילי
- מקרקעין ונדל"ן
- דיני צרכנות ותיירות
- קניין רוחני
- דיני משפחה
- דיני חברות
- הוצאה לפועל
- רשלנות רפואית
- נזקי גוף ותאונות
- תקשורת ואינטרנט
- מיסים
- תעבורה
- חוקתי ומנהלי
- גישור ובוררויות
- צבא ומשרד הבטחון
- ביטוח לאומי
- תמ"א 38
- פשיטת רגל
- תביעות ייצוגיות
- לשון הרע
- דיני ספורט
- אזרחויות ואשרות
- אזרחות זרה ודרכון זר
- ירושות וצוואות
- נוטריון
אבחנה לא מדוייקת: המנתח לא התרשל, אך יפצה ב-100 אלף שקל
הרופא טעה כשאבחן את האישה כסובלת ממחלה מולדת אך התברר כי מדובר במחלה ניוונית. בפועל, הרופא העניק לה טיפול התואם את מחלתה האמיתית ולכן ביהמ"ש קבע שלא מדובר ברשלנות. אז מדוע הרופא וביה"ח חוייבו בכל זאת בפיצוי משמעותי?
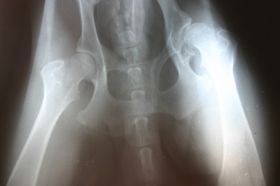
אישה, שעבדה במשך שנים כאחות וכמורה לנהיגה, סבלה מכאבים עזים בגבה וברגליה ומקשיים בהליכה. האישה פנתה לרופא שאיבחן אותה כסובלת מספונדילוליסטזיס – החלקה של חוליה על גבי חוליה אחרת, שיכולה להיות מולדת או ניוונית.
לכתבות נוספות בנושא:
- חובת היידוע הופרה: 8 מיליון ש' להורים שבתם נולדה עם פיגור שכלי
- תבע את ביה"ח "הילל-יפה": 'נותרתי עם אשך אחד'
הרופא ניתח את האישה בגבה, בניתוח שכלל השתלת עצם וקיבוע עמוד השדרה. לאחר הניתוח התברר שהשתל לא התאחה, וכי בורג בהתקן הקיבוע נשבר. האישה נותחה שוב לתיקון המצב, אך גם לאחר הניתוח השני התברר כי שני ברגים של התקן הקיבוע נשברו, כך שמצבה לא השתפר.
האישה הגישה לביהמ"ש המחוזי בלוד תביעה כנגד הרופא שביצע את הניתוח, וכנגד ביה"ח הלל יפה ומשרד הבריאות.
בתביעתה טענה, כי המנתח סיווג את מחלתה, בטעות, כמולדת ולא כניוונית, והתרשל בכך שביצע בה ניתוח שאינו מתאים לטיפול במצבה. עוד טענה התובעת, כי המנתח ובית החולים הפרו את חובת הגילוי המוטלת עליהם, כשלא ניתן לה הסבר על המחלה האמיתית ממנה היא סובלת.
מומחה מטעם התובעת אישר, כי מחלת האישה היא ניוונית ולא מולדת, וכי השיטה שננקטה בשני הניתוחים היתה שגויה. המומחה אף כינה את הניתוחים "אימפרוביזציה כירורגית רשלנית".
מנגד טען הנתבע, כי הניתוח שביצע מתאים לטיפול בשתי המחלות, וכי שני הטיפולים מקובלים ומובילים לתוצאות דומות. עוד טען, כי על אף השברים בברגים, הניתוח השני כלל לא כשל. לדבריו, זוהי תופעה נפוצה, שאינה מעידה כי השתל לא יתאחה בעתיד.
פגיעה באוטונומיה
השופטת אסתר שטמר קבעה, כי הנתבע אכן שגה באבחנה המדוייקת של מחלת התובעת. עם זאת קבעה, כי הניתוח שבחר הנתבע לבצע היה בדרך אפשרית ומקובלת לטיפול במחלה ממנה התובעת סבלה בפועל, ולכן, אין לראות בבחירת סוג הטיפול כרשלנות מצידו.
השופטת הוסיפה, כי לא חלה על הרופא חובה לשתף את המטופלת בבחירת שיטת הקיבוע: כאשר מדובר בפרט טכני בלבד, המהווה חלק מפרוצדורה שהוסברה היטב למטופל ושמטרתו להשיג את אותה תוצאה, אין חובה להציג בפני המטופל את מגוון החלופות השונות.
עם זאת השופטת קבעה, כי האבחנה השגויה נחשבת להפרת חובת הגילוי המוטלת על הרופא להסביר למטופל על אודות מחלתו, ולקבל ממנו הסכמה לביצוע ניתוח בהתאם לאבחנה.
לפיכך, השופטת חייבה את הנתבעים לשלם לתובעת פיצוי של 100,000 שקל, בתוספת הוצאות משפט בסך 15,000 שקל.
השופטת ציינה, כי פסקה פיצוי נמוך יחסית, בשל הקביעה שתוצאות הניתוחים לא הושפעו מהטעות באבחנה, וכי במקרה זה הנזק הסתכם בפגיעה באוטונומיה של התובעת בלבד.
-
ב"כ התובעת: עו"ד יונתן דייויס ועו"ד רונית לנמן
- ב"כ הנתבעים: עו"ד שרון פכר ועו"ד אלון זאואר
* עו"ד אייל בן ישי עוסק ברשלנות רפואית.
** הכותב לא ייצג בתיק.
*** המידע המוצג במאמר זה הנו מידע כללי בלבד, ואין בו כדי להוות ייעוץ ו/ או חוות דעת משפטית. המחבר ו/או המערכת אינם נושאים באחריות כלשהי כלפי הקוראים, ואלה נדרשים לקבל עצה מקצועית לפני כל פעולה המסתמכת על הדברים האמורים.
אתר המשפט הישראלי "פסקדין"
www.psakdin.co.il
פרסומת - תוכן מקודם
פסקדין הוא אתר תוכן משפטי ופלטפורמה המספקת שירותי שיווק דיגיטלי למשרדי עורכי דין,
בהכנת הכתבה לקח חלק צוות העורכים של פסקדין.
