- דיני חוזים
- מומחים לדין הזר
- ייפוי כוח מתמשך
- משפט מסחרי
- הדין האמריקאי
- דיני תעופה
- מטבעות דיגיטליים
- אשרות עבודה
- דיני עבודה
- תביעות ביטוח ונזקי רכוש
- פלילי
- מקרקעין ונדל"ן
- דיני צרכנות ותיירות
- קניין רוחני
- דיני משפחה
- דיני חברות
- הוצאה לפועל
- רשלנות רפואית
- נזקי גוף ותאונות
- תקשורת ואינטרנט
- מיסים
- תעבורה
- חוקתי ומנהלי
- גישור ובוררויות
- צבא ומשרד הבטחון
- ביטוח לאומי
- תמ"א 38
- פשיטת רגל
- תביעות ייצוגיות
- לשון הרע
- דיני ספורט
- אזרחויות ואשרות
- אזרחות זרה ודרכון זר
- ירושות וצוואות
- נוטריון
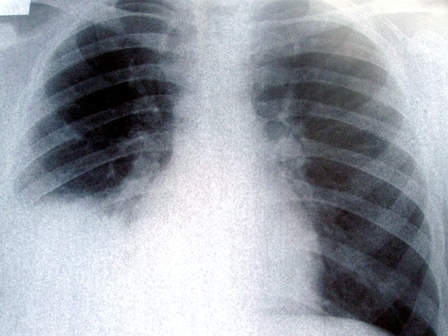
לקה בסרטן עקב עבודתו, ביטוח לאומי ישלם גמלה לאלמנתו וילדיו
יורשיו של בעל עסק לצביעת מכוניות שנפטר מסרטן ריאות טענו שהמחלה נגרמה בשל תנאי עבודתו. לעומתם, ביטוח לאומי טען שהמנוח לקה במחלה עקב עישון כבד. בתחילת השבוע בית הדין לעבודה קיבל את טענת היורשים.
במשך למעלה מ-40 שנה עבד המנוח בעסק לצביעת מכוניות שפתח יחד עם אשתו. במסגרת העבודה, נחשף האיש לחומרי הריסוס באופן תדיר - מספר שעות בכל יום, חמישה ימים בשבוע.
לפני שש שנים גילה המנוח שהוא חולה בסרטן ריאות, וביקש מביטוח לאומי להכיר בו כנפגע עבודה על פי עיקרון המיקרו-טראומה. אלא שביטוח לאומי דחה את בקשתו והשיב לו שמחלתו היא "מחלה טבעית", מה גם שהוא מעשן כבד.
לייעוץ בתחום:
בשנת 2011 תבע המנוח את המוסד בבית הדין האזורי לעבודה בתל אביב, אך למרבה הצער, נפטר בשלביו המוקדמים של ההליך המשפטי כשהוא בן 61 בלבד, ואלמנתו ושני ילדיו נכנסו בנעליו כתובעים.
מומחה רפואי שמונה בהסכמת הצדדים ציין כי עישון הוא גורם הסיכון העיקרי לסרטן הריאות, והמנוח היה מעשן כבד במשך עשרות שנים, אך עם זאת, גם תנאי העבודה שלו היוו סיכון למחלה ולדעתו אף השפיעו משמעותית על בריאותו.
"השפעה משמעותית"
חוות הדעת הזו לא מצאה חן בעיני ביטוח לאומי והוא ביקש מבית הדין למנות מומחה נוסף, אך השופט דורי ספיבק לא מצא לכך כל הצדקה.
השופט הסביר כי מינוי מומחה נוסף יביא להארכת ההתדיינות לשנתה השישית, ויפגע בזכותם של התובעים להכרעה סופית לה הם מחכים כבר שנים.
לגופו של עניין, השופט הסביר כי כדי להכיר בפגיעה בעבודה על פי תורת המיקרו-טראומה, יש להוכיח שתנאי העבודה גרמו למחלה הנטענת בשיעור של לפחות 20%. במקרה זה, המומחה ייחס לתנאי עבודתו של המנוח "השפעה משמעותית" בשיעור של 33%.
השופט התרשם לחיוב מחוות הדעת, שנתמכה במחקרים רפואיים עדכניים ובפסיקה, וקבע שהתובעים הוכיחו את הקשר הסיבתי בין עבודתו של המנוח לבין מחלתו, שלמרבה הצער גרמה למותו בטרם עת.
לפיכך, השופט החליט לקבל את התביעה, כך שביטוח לאומי חויב להכיר בתובעים כיורשיו של נפגע עבודה ולשלם להם גמלה בהתאם. בנוסף, יישא המוסד בהוצאות משפט ושכ"ט עו"ד של 5,000 שקל.
- ב"כ התובעים: עו"ד אושרה קידר
- ב"כ הנתבע: עו"ד עדי וידנה
* עורך דין אבישי בוגן עוסק בתביעות ביטוח לאומי
** הכותב לא ייצג בתיק
*** המידע המוצג במאמר זה הוא מידע כללי בלבד, ואין בו כדי להוות ייעוץ ו/ או חוות דעת משפטית. המחבר ו/או המערכת אינם נושאים באחריות כלשהי כלפי הקוראים, ואלה נדרשים לקבל עצה מקצועית לפני כל פעולה המסתמכת על הדברים האמורים.
גולשים בסלולרי? לשירות מיידי מעורך דין הורידו את Get Lawyer
אתר המשפט הישראלי "פסקדין"
פרסומת - תוכן מקודם
פסקדין הוא אתר תוכן משפטי ופלטפורמה המספקת שירותי שיווק דיגיטלי למשרדי עורכי דין,
בהכנת הכתבה לקח חלק צוות העורכים של פסקדין.
